QR-код этой страницы

Для продолжения изучения на мобильном устройстве ПРОСКАНИРУЙТЕ QR-код с помощью спец. программы или фотокамеры мобильного устройства

Случайный выбор

данная функция, случайным образом выбирает информацию для Вашего изучения,
запустите выбор нажав кнопку ниже

Обратная связь
Напишите нам

Поделитесь своими идеями по улучшению нашей работы.
Прикрепить файл или скриншот удалить
Закрытая часть портала предназначена для только для работников здравоохранения. Оставив свой e-mail и специалищацию, Вы подтверждаете, что являетесь работником здравоохранения и что Вы ознакомились с текстом и поняли его.


Сообщение об ошибке
Что улучшить?

Поделитесь своими идеями по улучшению нашей работы.
Прикрепить файл или скриншот удалить
Закрытая часть портала предназначена для только для работников здравоохранения. Оставив свой e-mail и специалищацию, Вы подтверждаете, что являетесь работником здравоохранения и что Вы ознакомились с текстом и поняли его.


Главная Клинические случаи Первичный склерозирующий холангит

Клинические случаи: Первичный склерозирующий холангит

1 / 168
Оцените материал:

Полный текст статьи:

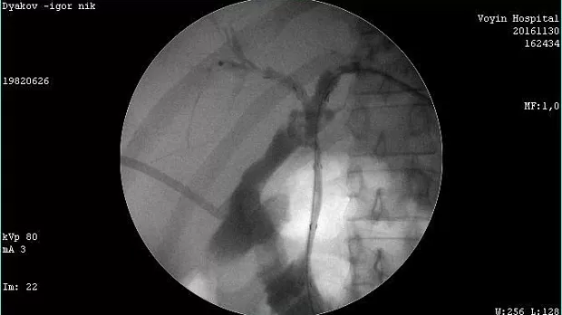
Молодой человек 33 г. Диагноз подтвержден. Стентирован пластиковыми стентами, потом самораскрывающимися. Одномоментно анте и ретроградно - с хорошим результатом. Дальше был поставлен в очередь на трансплантацию. Дальнейшая судьба не известна.

Открыт общий доступ к полному тексту статьи свернуть
20.03.26 ©
Оцените материал: Рейтинг: 0

Комментарии

Написать

При эндоскопическом исследовании в случае бронхоэктазов в стадии ремиссии выявляется

частично диффузный бронхит I степени воспаления





Работаем и учимся при поддержке

Партнеры