Просмотренные публикации

QR-код этой страницы

Для продолжения изучения на мобильном устройстве ПРОСКАНИРУЙТЕ QR-код с помощью спец. программы или фотокамеры мобильного устройства

Случайный выбор

данная функция, случайным образом выбирает информацию для Вашего изучения,
запустите выбор нажав кнопку ниже

Обратная связь
Напишите нам

Поделитесь своими идеями по улучшению нашей работы.
Прикрепить файл или скриншот удалить
Закрытая часть портала предназначена для только для работников здравоохранения. Оставив свой e-mail и специалищацию, Вы подтверждаете, что являетесь работником здравоохранения и что Вы ознакомились с текстом и поняли его.


Сообщение об ошибке
Что улучшить?

Поделитесь своими идеями по улучшению нашей работы.
Прикрепить файл или скриншот удалить
Закрытая часть портала предназначена для только для работников здравоохранения. Оставив свой e-mail и специалищацию, Вы подтверждаете, что являетесь работником здравоохранения и что Вы ознакомились с текстом и поняли его.


Главная Клинические случаи Метастаз пигментной меланомы в ЖКТ (ротовую полость, гортань, кардию, желудок, ДПК).

Клинические случаи: Метастаз пигментной меланомы в ЖКТ (ротовую полость, гортань, кардию, желудок, ДПК).

1 / 168
Оцените материал:

Полный текст статьи:

Анамнез заболевания: В конце октября (2025г) появились боли в правом подреберье. Последние три дня отмечает усиление болевого синдрома вызвали СМП и доставлена в БСМП. 
Где было проведено ультразвуковое исследование гепатобиллиарной зоны: Структура: неоднородная, в правой доле множественные округлые узловые образования диаметром до 12 мм, при ЦДК без кровотока (Mts?).
После осмотра пациентке было рекомендовано консультация онколога в условия РКОД (НЧФ) МЗ РТ.

Осмотр онколога (Набиуллин Р.Р.)
Данные объективного осмотра:  Общее состояние: относительно удовлетворительное

ECOG 2 индекс Карновского 80%

Общее состояние больного относительно удовлетворительное. Кожные покровы бледной окраски. Видимые слизистые обычной окраски. Дыхание свободное, число дыханий 15 в минуту. Язык влажный. Кожно-заразных заболеваний не обнаружено. Педикулез не обнаружен. Живот мягкий, болезненный в области правого подреберье, не вздутый. 

St localis : В области левого плеча образование темно-синего-черного цвета, плотное, безболезненное, с очагами изъязвления по поверхности диаметром около 3 см.

Результаты инструментальных методом исследования: 
Эзофагогастродуоденоскопия в условиях РКОД (Набережно Челнинский филиал) Эндоскопическое отделение. :
Видеогастроскоп OLYMPUS GIF-H185  
Местное орошение ротоглотки: 10%-лидокаин (спрей).
На слизистой ротовой полости и гортани множественные пигментированные округлые эпителиальные образования, округлой формы, темно-синей -черной окраски, размерами до 2-3 мм. 
Пищевод свободно проходим, слизистая розовая. 
Кардиальный жом нормотоничен.
Желудок - Слизистая тотально покрыта пигментированными эпителиальными образованиями черно-синей окраски.
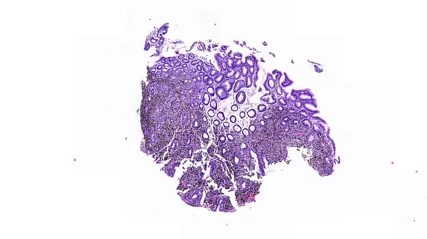
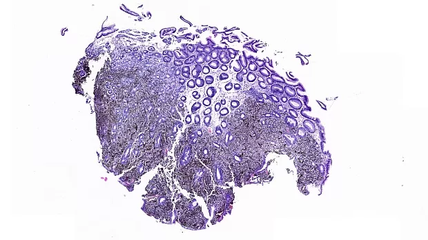
В луковице ДПК и постбульбарного отдела ДПК прослеживаются множественные пигментированные эпителиальные образования темно-черной-синей окраски, размерами до 5 мм, биопсия-гистология №1. 
Заключение гистологии: В слизистой желудка рост пигментной эпителиоилноклеточной меланомы.
КТ ОГК и ОБП и ЗП с КУ : Множественные Mts ВГЛУ. Множественные Mts в печень. Солидные Mts в проекции надпочечников с обеих сторон. Mts в левую почку, селезенку. Mts в мягкие ткани спины и живота. Mts во внутрибрюшные л/у. Mts в паранефральную клетчатку с обеих сторон.
Исследование уровня белка S-100 в сыворотке крови : 15 100,0 нг/л
Решением консилиума, пациентке присвоен паллиативный статус.

Открыт общий доступ к полному тексту статьи свернуть
01.11.25 © Кадыралы уулу ..
Оцените материал: Рейтинг: 6.5

Комментарии

Написать

Синдром Аддисона - Бирмера

(злокачественное малокровие, пернициозная анемия, в12-дефицитная анемия) B12 анемия, обусловленная аутоимунными механизмами, сопровождается ахилией, отсутствие пепсина и продукцией антител к париетальным клеткам.Гастроскопия выявляет гнездную, ре­же тотальную атрофию слизистой желудкаХарактерным симптомом является наличие так называемых перламутровых бляшек — блестящих зеркальных участков атрофии слизистой, локализующихся главным обра­зом на складках слизистой желудка.

При эндоскопическом исследовании в случае бронхоэктазов в стадии ремиссии выявляется

частично диффузный бронхит I степени воспаления

Интернет магазин





Работаем и учимся при поддержке

Партнеры