QR-код этой страницы

Для продолжения изучения на мобильном устройстве ПРОСКАНИРУЙТЕ QR-код с помощью спец. программы или фотокамеры мобильного устройства

Случайный выбор

данная функция, случайным образом выбирает информацию для Вашего изучения,
запустите выбор нажав кнопку ниже

Обратная связь
Напишите нам

Поделитесь своими идеями по улучшению нашей работы.
Прикрепить файл или скриншот удалить
Закрытая часть портала предназначена для только для работников здравоохранения. Оставив свой e-mail и специалищацию, Вы подтверждаете, что являетесь работником здравоохранения и что Вы ознакомились с текстом и поняли его.


Сообщение об ошибке
Что улучшить?

Поделитесь своими идеями по улучшению нашей работы.
Прикрепить файл или скриншот удалить
Закрытая часть портала предназначена для только для работников здравоохранения. Оставив свой e-mail и специалищацию, Вы подтверждаете, что являетесь работником здравоохранения и что Вы ознакомились с текстом и поняли его.


Главная Статьи SES-CD (Simple Endoscopic Score for Crohn's Disease) - простая эндоскопическая шкала болезни Крона - 2004 год (балл по шкале SES-CD)

Статьи: SES-CD (Simple Endoscopic Score for Crohn's Disease) - простая эндоскопическая шкала болезни Крона - 2004 год (балл по шкале SES-CD)

1 / 168
Оцените материал:

Полный текст статьи:

Эндоскопические шкалы оценки ремиссии/заживления слизистой

  • CDEIS (Crohn's Disease Endoscopic Index of Severity) - эндоскопический индекс тяжести болезни Крона - 1989 год  (Предшественник SES-CD)
  • SES-CD (Simple Endoscopic Score for Crohn's Disease) - простая эндоскопическая шкала болезни Крона - 2004 год (балл по шкале SES-CD) - общепринята


Эндоскопические шкалы при Болезни Крона (БК) оценивают 5 отделов:
  • Подвздошная кишка
  • Восходящая ободочная кишка
  • Поперечная ободочная кишка
  • Нисходящая ободочная кишка
  • Прямая кишка

Эндоскопические шкалы оценивают
  • Наличие и размер язв
  • Площадь поверхности изъязвлений
  • Площадь поверхности поражений
  • Наличие и выраженность стенозов

SES-CD позволяет не только интерпретировать новые цели, сформулированные в концепции STRIDE 2, но также:
• •мониторировать динамику активности воспаления и, соответственно, эффективность лечения
Новые цели включают такие понятия как:
• Эндоскопический ответ - снижение эндоскопической активности заболевания по шкале SES-CD более, чем на 50% от исходного
• Заживление слизистой оболочки (mucosal healing) - подразумевает не полную эндоскопическу ремиссию, а отсутствие язв слизистой оболочки в зоне поражения при возможном сохранении афт, гиперемии и других признаков воспаления
• Эндоскопическая ремиссия - трактуется как воспалительная активность <= 4 баллов


Пример эндоскопического протокола с описанием по шкале SES-CD (то, что понравится гастроэнтерологам)

Место проведения: эндоскопическое отделение

Дата и время начала осмотра: 31.02.2023 14:09

Исследование выполнено аппарате: Pentax EE

Тип исследования: Первичное

Уровень прохода: Терминальный отдел подвздошной кишки

Показатель интубации слепой кишки: Терминальный отдел подвздошной кишки; Купол слепой кишки

Время выведении эндоскопа из купола: 20 минут

Бостоновская шкала качества подготовки кишечника в кс: 3+3-3

Протокол: Подготовка: Бесшлаковая диета 3 дня. Мовипреп вечер-утро, окончание приема препарата в 10:50 Эспумизан - нет

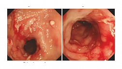
Перианальная кожа не изменена. Наружные геморроидальные узлы не увеличены, Сфинктер анального канала в тонусе, Эндоскоп заведен в терминальный отдел подвздошной кишки на 10 см. Слизистая подвздошной кишки розовая, ворсинчатая. Определяется три афты под фибрином диаметром до 3 мм. Осмотрена вся толстая кишка. Баугиниева заслонка губовидиая, устье ее сомкнуто, ориентировано центрально. Слизистая вокруг устья червеобразного отростка отечная, гиперемированная, с поверхностными изъязвлениями под фибрином до 3 мм в диаметре. сосудистый рисунок не дифференцируются. контактной ранимости нет, Остальная слизистая слепой кишки розовая, сосудистый рисунок четкий. контактной ранимости нет, На всем протяжении ободочной кишки просвет сохранен, тонус удовлетворительный. гаустрация выраженная, соответствует отделам. В просвете небольшое количество остаточной жидкости, в правой половине с комочками легко смываемой слизи, следов крови нет, Слизистая розовая, гладкая, блестящая Сосудистый рисунок выражен, четкий. Сигмовидная кишка удлинена с образованием петли. Слизистая примой кишки розовая, гладкая, блестящая, на протяжении 3 см от ануса слабо гиперемированная, сосудистый рисунок смазан. Патологические образования не определяются, Внутренние геморроидальные узлы не увеличены, без признаков воспаления и тромбоза.

Оценка по единой эндоскопической шкале болезни Крона (SES-CD):

Подвздошная кишка: сегмент исследован, афтозные язвы (0,1-0,5 см) (1), протяженность изъязвленной поверхности «10 (1), протяженность пораженной поверхности <50% (1).сужения нет (О), всего 3 балла;

Правая половина ободочной кишки: сегмент исследован, афтозные язвы (0,1-0,5 см) (1). протяженность изьязвленной поверхности <10% (1), протяженность пораженной поверхности <50% (1), сужения нет (0), всего 3 балла;

Левая половина оболочной кишки: сегмент исследован, язв нет, сужения нет, всего 0 баллов

Прямая кишка: сегмент исследован, язв нет, сужения нет, всего 0 баллов

Итого: 6 баллов.

Выполнена мультифокальная биопсия для подтверждения диагноза.

Флакон 1: Б2 подвздошная кишка.

Флакон 2: Б2 устье аппендикса

Флакон 3: Б1 слепая кишка,

Флакон 4: Б 1 восходящая ободочная кишка

Флакон 5: Б1 поперечная ободочная

Флакон 6: Б1 нисходящая ободочная кишка,

Флакон 7: Б1 сигмовидная кишка,

Флакон 8: Б1 ректосигмоидный переход,

Флакон 9. Б1 прямая кишка.

Заключение: афтозный терминальный илеит, язвенный тифлит, катаральный проктит, эндоскопическая картина более характерна для болезни крона SES-CD 6 (легкая степень эндоскопической активности), верификация диагноза

ВРАЧ: ДДБ.




По материалам конференции 30.06.23 Образовательный семинар Эндоскопический практикум: «Возможности современной колоноскопии» из лекции "Воспалительные заболевания кишечника. Взгляд гастроэнтеролога." Е.А. Белоусовой - д.м.н., профессор, руководитель отделения гастроэнтерологии ГБУЗ МО МОНИКИ им. М.Ф. Владимирского, заведующая кафедрой гастроэнтерологии ФУВ МОНИКИ, ГВС гастроэнтеролог Министерства здравоохранения Московской области (видеозапись не доступна)



По теме: 


Открыт общий доступ к полному тексту статьи свернуть
Видео
30.06.23 ©
Оцените материал: Рейтинг: 7

Комментарии

Написать

При эндоскопическом исследовании в случае бронхоэктазов в стадии ремиссии выявляется

частично диффузный бронхит I степени воспаления

Работаем и учимся при поддержке

Партнеры