Просмотренные публикации

QR-код этой страницы

Для продолжения изучения на мобильном устройстве ПРОСКАНИРУЙТЕ QR-код с помощью спец. программы или фотокамеры мобильного устройства

Случайный выбор

данная функция, случайным образом выбирает информацию для Вашего изучения,
запустите выбор нажав кнопку ниже

Обратная связь
Напишите нам

Поделитесь своими идеями по улучшению нашей работы.
Прикрепить файл или скриншот удалить
Закрытая часть портала предназначена для только для работников здравоохранения. Оставив свой e-mail и специалищацию, Вы подтверждаете, что являетесь работником здравоохранения и что Вы ознакомились с текстом и поняли его.


Сообщение об ошибке
Что улучшить?

Поделитесь своими идеями по улучшению нашей работы.
Прикрепить файл или скриншот удалить
Закрытая часть портала предназначена для только для работников здравоохранения. Оставив свой e-mail и специалищацию, Вы подтверждаете, что являетесь работником здравоохранения и что Вы ознакомились с текстом и поняли его.


Главная Статьи Что такое ультразвук?

Статьи: Что такое ультразвук?

Авторы: Бурдюков М.С.1,2,5, 1 Катрич А.Н.3,4, 2 Приходько Е.С.1 3
Об авторах: 1. ГБУЗ ГКБ имени С. П. Боткина ДЗМ
2. ФГБОУ ДПО «Российская медицинская академия непрерывного профессионального образования» Минздрава РФ
3. НИИ – Краевая КБ № 1 им. проф. С.В. Очаповского
1 / 168
Оцените материал:

Полный текст статьи:



Текстовая версия документа


Что такое ультразвук?

Если вы хотите познать секреты вселенной - мыслите единицами измерения энергии, частоты и вибрации.

Никола Тесла (1856–1943)

Бурдюков М.С.1,2,5, Катрич А.Н.3,4, Приходько Е.С.1

1 Государственное бюджетное учреждение здравоохранения Городская клиническая больница имени С. П. Боткина Департамента здравоохранения города Москвы, (ул. 2-й Боткинский проезд, д. 5, г. Москва, 125284, Россия)

2 Федеральное государственное бюджетное образовательное учреждение дополнительного профессионального образования «Российская медицинская академия непрерывного профессионального образования» Министерства здравоохранения Российской Федерации, (ул. Баррикадная, д. 2/1, стр. 1, г. Москва, 125993, Россия)

3 Научно-исследовательский институт – Краевая клиническая больница № 1 им. проф. С.В. Очаповского, (ул.1 мая, 167, корп.1, Краснодар, 350086, Россия

4 Кубанский государственный медицинский университет, (ул. Митрофана Седина, 4, Краснодар, 350063, Россия

5 Федеральная сеть клиник Евроонко, Москва, Духовской переулок 22Б

Бурдюков Михаил Сергеевич, доктор медицинских наук, доцент кафедры эндоскопии; врач-эндоскопист

Катрич Алексей Николаевич, доктор медицинских наук, доцент кафедры хирургии №1, заведующий отделением ультразвуковой диагностики, врач УЗД

Приходько Елизавета Сергеевна, врач-эндоскопист эндоскопического отделения №2

Резюме

Цель статьи – познакомить читателей с основами ультразвука и основными принципами его работы, чтобы в дальнейшем эффективно управлять переменными, которые можно отнести к операторзависимым, и собирать максимально полную информацию из каждого исследования, избегая ловушек и ошибок в диагностике.

Ключевые слова: ультразвук, эндоскопическое ультразвуковое исследование, физика ультразвука, артефакты ультразвука.

Конфликт интересов. Авторы заявляют об отсутствии конфликта интересов.

What is ultrasound?

If you want to know the secrets of the universe - think in units of energy, frequency and vibration.

Nikola Tesla (1856-1943)

Burdukov M.S.1,2, Katrich A.N.3,4, Prikhodko E.S.1

1 State Budgetary Healthcare Institution City Clinical Hospital named after S.P. Botkin of the Moscow Department of Healthcare, (2-y Botkinskiy proezd, 5, Moscow, 125284, Russia)

2 Federal State Budgetary Educational Institution of Continuous Professional Education "Russian Medical Academy of Continuous Professional Education" of the Ministry of Healthcare of the Russian Federation, (Barrikadnaya st., 2/1, building 1, Moscow, 125993, Russia)

3 Research Institute - Regional Clinical Hospital No. 1 named after prof. S.V. Ochapovsky, (ul. 1 Maya, 167, bldg. 1, Krasnodar, 350086, Russia

4 Kuban State Medical University, (ul. Mitrofan Sedina, 4, Krasnodar, 350063, Russia

Burdukov Mikhail S., MD, PhD, Associate Professor of the Endoscopy Department; endoscopist

Katrich Alexey N., MD, PhD, Head of the Ultrasound Diagnostics Department, ultrasound doctor

Prikhodko Elizaveta S., endoscopist of the Endoscopy Department No. 2

Abstract

The purpose of the article is to introduce readers to the basics of ultrasound and the main principles of its operation in order to effectively manage variables that can be classified as operator-dependent and collect the most complete information from each study, avoiding pitfalls and errors in diagnosis.

Keywords: ultrasound, endoscopic ultrasound examination, physics of ultrasound, ultrasound artifacts.

Conflict of interest. The Authors declare no conflict of interest.

Ультразвук представляет собой механические волны, частота которых превышает 20 кГц, т.е. лежит сразу за верхней границей звука, различимого человеческим ухом. В системах медицинской УЗ-диагностики обычно используют частоты от 2 до 20 МГц, в эндоскопическом ультразвуковом исследовании – от 5 до 30 МГц [6].

Ультразвук мощный инструмент для определения форм, размеров и текстур структур, их местоположений и пространственных взаимоотношений[3]. Для оптимизации диагностических изображений и безопасной работы важно понимать основные принципы ультразвука. Для чего же это важно в практической сфере:

1. Чтобы выбрать датчик, который обеспечит оптимальное проникновение в интересующую анатомическую область: важно понимать взаимосвязь между частотой, проникновением и разрешением; а также осознавать, как размер и форма пятна контакта датчика облегчают доступ луча к целевым структурам[4].

2. Чтобы максимизировать передачу звуковой волны к целевым структурам и получение эхо-сигнала от них: необходимо понимать, как ультразвуковая энергия зависит от среды, через которую она проходит, почему отражение, преломление и/или рассеивание происходят на границах тканей и как угол луча влияет на качество изображения целевой структуры; а также уметь эффективно наклонять луч, чтобы избегать препятствий для передачи и максимизировать силу эхо-сигналов, возвращающихся от границ тканей[4].

3. Чтобы максимально повысить качество изображения: важно узнать, как использовать аппарат для оптимальной настройки характеристик передаваемого луча и/или «принимаемой» эхо-информации[4].

4. Для точной интерпретации изображений: необходимо распознавать характеристики тканей по ультразвуковому изображению; распознавать и понимать типы артефактов; использовать полезные артефакты в качестве источника дополнительной диагностической информации; изменять положение датчика для уменьшения или устранения отвлекающих артефактов[4].

5. Чтобы поддерживать потенциальные биоэффекты на разумно достижимом низком уровне: необходимо понимать тепловое и механическое воздействие звуковой энергии на ткани; знать, какие ткани наиболее уязвимы; и понимать, как настроить устройство для получения оптимальных изображений с наименьшей выходной интенсивностью[4].

Важно, чтобы начинающие пользователи осознавали ограничения ультразвука и необходимость комплексного ультразвукового обследования или дальнейшей диагностической визуализации, когда результаты неспецифичны или неопределенны.

Основная часть: Функциональной единицей ультразвука является пьезоэлемент. Пьезоэлектрический эффект был открыт в 1880 году Джексоном и Пьером Кюри [2]. Они заметили, что в некоторых кристаллах при механическом воздействии на них появляется электрическая поляризация, причем степени её пропорциональна величине воздействия.

Прямой пьезоэлектрический эффект – это явление возникновения электрической поляризации в кристалле под действием механического напряжения. Деформация пьезоэлектрического образца приводит к возникновению электрического напряжения между поверхностностями деформируемого твёрдого тела.

Обратный пьезоэлектрический эффект - это явление возникновения механических деформаций в кристалле под действием электрического поля. Приложение электрического напряжения к телу вызывает его деформацию.

Термины и понятия

Терминов и понятий для описания основных физических принципов ультразвука весьма много: волна, длина волны, частота, гармоника, скорость распространения, амплитуда, интенсивность, затухание, поглощение, сопротивление, отражение, рефракция, рассеивание и тд. Мы же разберем наиболее основные для понимания работы ультразвука в практике врача- эндоскописта.

Длина волны (λ)– это расстояние между последовательными гребнями волны или между любыми двумя точками, которые повторяются на синусоидной волне. Время завершения каждого колебания называется периодом (Т) [5].

Частота (f) – число колебаний в единицу времени (Гц).

Рис.1. Ультразвуковая энергия передается через сжимающую среду в виде продольных волн переменного сжатия и разряжения. Длина волны (λ)– это расстояние между последовательными гребнями. Период (Т) - это время между колебаниями, а частота (f) – это число колебаний в секунду.

Рис.2. Формула скорости звука (v), где f – частота (Гц), λ– длина волны (м).

Скорость и распространение звука.

Скорость звука зависит от природы среды, через которую он распространяется и не зависит от частоты[5].

Поскольку в идеальных условиях скорость постоянна в определённой среде, увеличение частоты приводит к уменьшению длины волны и наоборот.

Разрешение ультразвукового изображения и проникновение ультразвуковой волны зависят от длины волны и частоты. Высокочастотный ультразвуковой луч (малая длина волны) обеспечивает лучшее разрешение и детализацию изображения, чем низкочастотный луч. Однако низкочастотные лучи будут иметь лучшее проникновение по сравнению с высокочастотными[5].

Таким образом, можно сделать вывод, что чем больше частота, тем больше мы будем видеть деталей, но на меньшей глубине сканирования, чем меньше частота, тем меньше мы видим деталей, при большей глубине сканирования.

Взаимодействие с материей

Когда ультразвуковые волны распространяются через среду, между ультразвуковой волной и веществом происходит ряд взаимодействий. Эти взаимодействия включают отражение, преломление, рассеяние и поглощение.

Отражение

В медицинской диагностике используется способность ультразвука отражаться от границы сред или тел с разной плотностью, позволяя получить изображение контуров этой границы на экране монитора[6].

Достигнув границы двух сред с различным акустическим сопротивлением, пучок УЗ-волн претерпевает существенные изменения: одна его часть распространяется в новой среде, в той или иной степени поглощаясь ею, другая – отражается [5].

Отражение - лежит в основе явления эхогенности и зависит от ряда факторов:

1. Акустического сопротивления тканей: чем больше акустическое сопротивление между средами, тем больше отражается звук. Например, мягкие ткани и кость имею совершенно разное сопротивление, визуализация через кость невозможна (также как и через воздух), что приводит к «акустическому затенению». Но если две среды имеют схожие значения акустического сопротивления, то большинство звуковых волн продолжаются во вторую среду с минимальным отражением. Поэтому, используется гель на водной основе/создание иммерсионной среды для устранения воздушных карманов.

2. Угла падения ультразвуковой волны. Когда луч перпендикулярен поверхности раздела двух сред, звук возвращается обратно к преобразователю в виде эха. При неперпендикулярном падении луча происходит потеря сигнала и, как результат, изображение искажается.

3. Размера и поверхности контакта.

Если интенсивность отраженного звука высока, то предмет – гиперэхогенный.

Если интенсивность отраженного звука низкая, то предмет – гипоэхогенный.

Если интенсивность отраженного звука средняя, то предмет – изоэхогенный.

Если отражённый звук отсутствует, то предмет - анэхогенный.

Затухание. Затухание вызвано поглощением тканями ультразвукового луча и рассеиванием[5]. Затухание обычно увеличивается с ростом частоты, поэтому при визуализации более глубоких структур следует отдавать предпочтение низким частотам сканирования. Важно также знать, что в жидкостях происходит небольшое поглощение, рассеивание и отражение, что приводит к дистальному «акустическому усилению».

Преломление – это изменение направление ультразвукового луча при его переходе из одной среды в другую. Частота остается прежней, однако скорость звука изменяется при изменении среды. Преломление приводит к появлению артефактов в виде пространственных искажений, которые на изображении могут появляться как структуры, лежащие за пределами исследуемого объекта[5].

Артефакты ультразвука

Артефакты – это эхо-сигналы, которые не соответствуют фактическим свойствам предмета[7]. Они могут возникать из ряда различных источников: аппарат, оператор и взаимодействие звуковых волн с тканями [5].

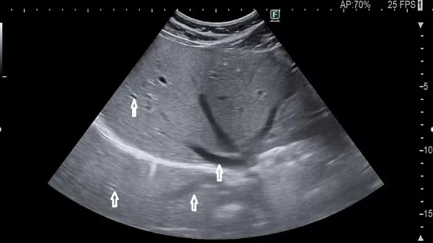
Наиболее распространённым ультразвуковым артефактом является реверберация, которая возникает из-за того, что рядом с датчиком находится очень сильный отражатель, вызывающий множественные переотражения между датчиком и отражателем[5]. Как результат, артефакт отображается как некое изображение, расположенное глубже на экране монитора[7]. Сильными отражателями являются воздух, кристаллы холестерина, кость и металлические предметы. Чтобы устранить этот артефакт необходимо изменить положение датчика или угол сканирования [5].

Рис.3 Артефакт реберберации.

Артефакты боковых «лепестков». Боковые лепестки – это выбросы ультразвуковой энергии, которые находятся вне оси основного луча. Артефакты бокового лепестка возникают, когда эхо-сигнал от тканей вдоль внеосевой стороны размещаются на изображении так, как будто они возникают из центральной оси изображения[5]. Клинически эхо-сигналы за пределами просвета заполненной жидкостью структуры могут появляться внутри этой самой структуры, имитирую артефакты (например, осадок в желчном пузыре). Чтобы устранить этот артефакт необходимо изменить положение датчика, угол сканирования или фокус преобразователя [5].

Рис.4 Артефакты боковых «лепестков» (схема)

Акустическое затемнение (акустическая тень) – весьма полезный артефакт, который помогает диагностировать кальцинированные поражения (желчные и мочевые камни)[5]. Проявляется это возникновением темной области без какого-либо сигнала дистальнее затеняющего объекта. Примером может служить эффекты возникающие при неадекватном акустическом контакте баллона эхоэндоскопа со слизистой оболочкой стенки полого органа (недостаточное наполнение баллона, недостаточное количество жидкости в просвете органа, некачественная подготовка слизистой перед исследованием) когда на фоне возникающих артефактов реверберации, могут наблюдаться эффекты акустических теней.

Рис.5 Множественные гиперэхогенные камни желчного пузыря с дистальной акустической тенью

Акустическое усиление – противоположно акустическому затемнению и происходит дистальнее объекта с низким затуханием, например, полость, заполненная жидкостью. При этом УЗ-волна проходит быстрее через изучаемый объект, чем вокруг него, в результате чего происходит «псевдоусиление» сигнала, хотя правильнее было бы сказать, что на этом участке происходит менее выраженное (в сравнении с окружающими тканями) ослабление (затухание) сигнала.

Рис.6 Анэхогенное поражение печени с тонкой гиперэхогенной стенкой с дистальным акустическим усилением, что подтверждает жидкостное содержимое и диагноз простой кисты печени.

Артефакты «зеркального» изображения. Высокоотражающие поверхности могут вызывать генерацию множественных отражений и преломлений луча[5]. «Зеркальный» артефакт похож на артефакт реверберации, но дополнительное отражение обусловлено средами организма, например, когда есть сильный переход ткани/жидкости и диафрагма [7]. Как результат, на экране артефакт выглядит как виртуальный объект в зеркале.

Рис.7 Зеркальный артефакт.

Выводы Ультразвук - это мощный инструмент, который позволяет проникнуть сквозь ткани и на основании своих физических свойств изучить интересующую область с разных сторон. Зная физические аспекты ультразвука, можно детально изучить определённую область, изменяя параметры ультразвука, угол падения луча, а также устранить/или же использовать некоторые артефакты.



.

Контент доступен под лицензией Creative Commons Attribution 4.0 License.

Открыт общий доступ к полному тексту статьи свернуть

Список литературы:

1. de Nucci G, Gabbani T, Impellizzeri G, Deiana S, Biancheri P, Ottaviani L, Frazzoni L, Mandelli ED, Soriani P, Vecchi M, Manes G, Manno M. Linear EUS Accuracy in Preoperative Staging of Gastric Cancer: A Retrospective Multicenter Study. Diagnostics (Basel). 2023 May 25;13(11):1842. doi: 10.3390/diagnostics13111842. PMID: 37296694; PMCID: PMC10252418.

2. Жуков Сергей О пьезокерамике и перспективах ее применения // Компоненты и Технологии. 2001. №10. URL: https://cyberleninka.ru/article/n/o-piezokeramike-i-perspektivah-ee-primeneniya

3. Curriculum for Fundamentals of Ultrasound in Clinical Practice. J Ultrasound Med. 2019 Aug;38(8):1937-1950. doi: 10.1002/jum.15090. PMID: 31318483.

4. AIUM Curriculum for Fundamentals of Ultrasound Physics and Instrumentation. J Ultrasound Med. 2019 Aug;38(8):1933-1935. doi: 10.1002/jum.15088. PMID: 31318485.

5. Manoop S. Bhutani, MD, John C.Deutsch, MD. Digital Human Anatome and Endoscopic Ultrasonography. Р.13-19 – 2005. – BC Decker Inc Hamilton - London

6. ЭУСбука. Руководство по эндоскопической ультрасонографии.
под редакцией Нечипая А.М., Орлова, С.Ю., Федорова У.Д. IBSN: 978-5-98811-240-2

7. Svein Qdegaard, Odd Helge Giljia, Hans Gregersen. Basic and new aspects of gastrointestinal ultrasonography. P.19 – 2005. – World Scientific Publishing Co.Pte. Ltd.
23.12.25 ©
Оцените материал: Рейтинг: 7

Комментарии

Написать

От редакции EndoExpert.ru

Благодарим М.С. Бурдюкова и соавторов, за труды и возможность размещения статьи. 




Ахалазия кардии

Ахалазия кардии (синонимы: мегаэзофагус или долихоэзофагус, идиопатическое расширение пищевода, кардиоспазм и др.)— идиопатическое нервно-мышечное заболевание, проявляющееся функциональным нарушением проходимости кар-дии вследствие дискоординации между глотком, рефлекторным раскрытием нижнего пищеводного сфинктера (НПС) идвигательной итонической активностью гладкой мускулатуры пищевода. Код по МКБ-10К.22.0. Ахалазия кардиальной части.

При эндоскопическом исследовании в случае бронхоэктазов в стадии ремиссии выявляется

частично диффузный бронхит I степени воспаления

Интернет магазин

Работаем и учимся при поддержке

Партнеры