QR-код этой страницы

Для продолжения изучения на мобильном устройстве ПРОСКАНИРУЙТЕ QR-код с помощью спец. программы или фотокамеры мобильного устройства

Случайный выбор

данная функция, случайным образом выбирает информацию для Вашего изучения,
запустите выбор нажав кнопку ниже

Обратная связь
Напишите нам

Поделитесь своими идеями по улучшению нашей работы.
Прикрепить файл или скриншот удалить
Закрытая часть портала предназначена для только для работников здравоохранения. Оставив свой e-mail и специалищацию, Вы подтверждаете, что являетесь работником здравоохранения и что Вы ознакомились с текстом и поняли его.


Сообщение об ошибке
Что улучшить?

Поделитесь своими идеями по улучшению нашей работы.
Прикрепить файл или скриншот удалить
Закрытая часть портала предназначена для только для работников здравоохранения. Оставив свой e-mail и специалищацию, Вы подтверждаете, что являетесь работником здравоохранения и что Вы ознакомились с текстом и поняли его.


Главная Клинические случаи Язвенный колит/ Ulcerative Colitis. Шкала UCEIS

Клинические случаи: Язвенный колит/ Ulcerative Colitis. Шкала UCEIS

1 / 168
Оцените материал:

Полный текст статьи:

Пациент Д., 43 лет, поступила в клинику , в отделение гепатологии и гастроэнтерологии для дополнительного обследования и дальнейшего проведения биологической терапии.
Дебют заболевания после родов в мае 2020 с повышения температуры тела до 37-38 С, болей в животе, в заднем проходе, учащения стула до 4 х раз в виде плевков с кровью, обратилась к проктологу, выявлены анальные трещины, даны рекомендации, самостоятельно получала свечи (от геморроя со слов).

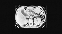
16.05.2020 тяжелое обострение в виде учащения стула до 20 раза с кровью, выраженные боли в животе, обратилась в п/п региональной клиники, где осмотрена хирургом, проведена КТ ОБП- где выявлен выпот в малом тазу, признаки лимфоаденопатии, инфильтрацию по ходу стенки сигмовидной кишки, ОХП исключена, направлена на обследование по м/ж, в частном центре (со слов) получала инфузии кристаллоидами, дезинтоксикационную терапию (выписки нет).

10.06.2020г значительное ухудшение состояния в виде прогрессирования колитического синдрома, усиления абдоминально-болевого синдрома, астено-вегетативного синдрома, в связи с чем каретой скорой помощи доставлена в региональную клинику отделение терапии, где пациентке при обследовании по данным ВКС тотальный язвенный колит, высокой степени активности, по данным гистологического заключения- эрозивно-язвенный колит с атипией желез эпителия.

На плановой колоноскопии в клинике, неудовлетворительная подготовка кишечника, правая половина с кишечным содержимым.Осмотрены средний и левый отделы толстого кишечника, гаустрация на всем протяжении неравномерная, местами отсуствует, сосудистый рисунок местами смазан , перестроен и местами отсуствует, имеются множественные псевдополипы, единичные штампованные рубцы и единичные поверхностные язвы, имеется контактная кровоточивость. Заключение: Эндоскопические признаки язвенного колита умеренной степени активности( по UCEIS-4 балла)



Ulcerative Colitis Endoscopic Index of Severity - эндоскопический индекс тяжести язвенного колита.
Оцениваеся наиболее сильно пораженный участок при сигмоидоскопии в Баллах по критериям
Затем по сумме баллов выставляется Индекс UCEIS









Рекомендуем по теме: 

 
ПРОЕКТ КЛИНИЧЕСКИХ РЕКОМЕНДАЦИЙ ПО ДИАГНОСТИКЕ И ЛЕЧЕНИЮ ЯЗВЕННОГО КОЛИТА 2019

... Биологическая терапия o Воспалительные заболевания кишечника o Взрослые o Глюкокортикостероиды o Диарея o Иммуносупрессоры o Месалазин o Язвенный колит Список сокращений: 5- АСК – 5-аминосалициловая кислота АЗА – азатиоприн БК – болезнь Крона БОС – биологическая обратная связь ГИБП ...

Изменен: 29.04.2020

Гистологическая шкала активности язвенного колита (по Гебсу, 2010)

... Степень 5 - эрозирование, изъязвление, грануляции. Гистологическая шкала Гебса — степени воспаления слизистой оболочки толстой кишки при язвенном колите: Патогистологические показатели Степень Структурные изменения: Степень 0 · нормальная структура 0.0 · незначительные патологические ...

Изменен: 29.04.2020

Монреальская классификация язвенного колита по протяженности поражения

... распространяется проксимальнее левого изгиба толстой кишки ( включая субтотальный колит, а также тотальный ЯК с ретроградным илеитом). Эндоскопическое ... ... интересно: ПРОЕКТ КЛИНИЧЕСКИХ РЕКОМЕНДАЦИЙ ПО ДИАГНОСТИКЕ И ЛЕЧЕНИЮ ЯЗВЕННОГО КОЛИТА 2019 Классификация язвенного колита в зависимости от ...

Изменен: 28.04.2020

Классификация язвенного колита в зависимости от эндоскопической активности

... в правильности ранее выставленного диагноза, рекомендовано выполнение биопсии слизистой оболочки толстой кишки [41,42]. Классификация язвенного колита в зависимости от эндоскопической активности ( по Schroeder ) 0 баллов Норма или неактивное заболевание Минимальная активность ...

Изменен: 29.04.2020

Франкфуртская классификация ВЗК-ассоциированных новообразований (FACILE)

... Ольги Владиславовны, аспиранта "НМИЦ Колопроктологии им А.Н.Рыжих", на тему "Эндоскопические признаки дисплазии эпителия кишки при язвенном колите" .

Изменен: 02.05.2020

Открыт общий доступ к полному тексту статьи свернуть
07.11.20 © Батырбеков ..
Оцените материал: Рейтинг: 7

Комментарии

Написать

Синдром Бернара-Горнера

птоз, миоз и энофтальм при повреждении симпатического нерва (С7—Тh11) при осложненных дивертикулах, опухолях пищевода или метастазах в позвоночник.

При эндоскопическом исследовании в случае бронхоэктазов в стадии ремиссии выявляется

частично диффузный бронхит I степени воспаления





Работаем и учимся при поддержке

Партнеры